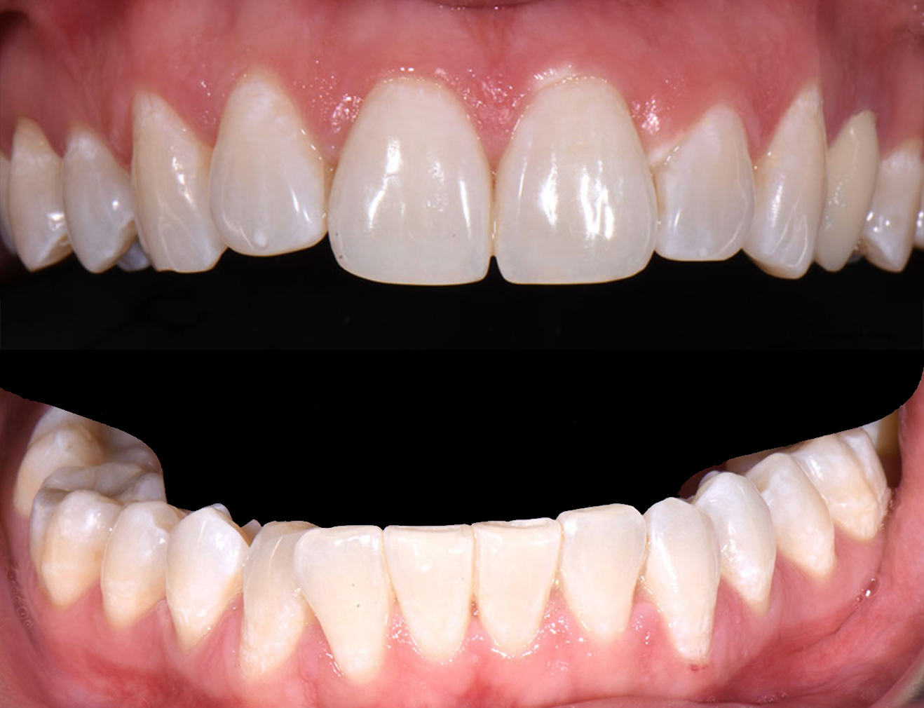
Cos’è lo sbiancamento?
E’ una trattamento odontoiatrico estetico per migliorare o ripristinare il colore e la luminosità dei propri denti.
Come svolgiamo lo sbiancamento?
In due tempi:
1. Igiene professionale
Si esegue un igiene professionale per rimuovere il tartaro e le eventuali pigmentazioni e/o le macchie superficiali. In questo modo, si preparano i denti per l’azione dell’agente sbiancante.
Una volta effettuato questo primo step è possibile scegliere insieme al paziente se effettuare uno sbiancamento professionale in poltrona, uno domiciliare oppure una combinazione di entrambi.
2a. Sbiancamento in poltrona:
Si eseguono da due a tre applicazioni da 20 minuti ciascuna di gel sbiancante al perossido di idrogeno al 36/40%.
2b. Sbiancamento domiciliare:
Si prendono le impronte delle arcate dentarie, che andranno sviluppate per ottenere i modelli in gesso su cui stampare le mascherine trasparenti. Queste ultime verranno consegnate al paziente insieme ad un box in cui è contenuta una custodia e le siringhe di gel sbiancante. A casa il paziente apporrà il gel sbiancante (perossido di carbamide al 16%) nella mascherina secondo le indicazioni e le utilizzerà durante la notte per circa una settimana avendo la possibilità di una gestione in autonomia della luminosità che si vuole ottenere.
Entrambe le tecniche prevedono l’utilizzo di gel sbiancanti ad una concentrazione tale da non poter essere considerati prodotti da banco in farmacia, secondo la direttiva del Consiglio UE 2011/84/UE del 20 settembre 2011. Dentifrici, colluttori o paste sbiancanti ad uso quotidiano, infatti, non hanno la possibilità di modificare il colore dei denti, ma la loro funzione è limitata a quella di mantenere il nuovo colore ottenuto con un trattamento professionale.
SENSIBILITA' POST-SBIANCAMENTO:
La sensibilità dentale dopo il trattamento sbiancante è un’eventualità che può verificarsi e che va considerata normale; bisogna ricordare che è transitoria e qualora volessimo intervenire per accelerare il suo transito, è possibile utilizzare mousse e/o dentifrici appositi.
Chiedere sempre consiglio al nostro team!
Ps. Ricordiamo ai nostri pazienti che il trattamento è sconsigliato durante la gravidanza e nei soggetti che hanno ipersensibilità dentale.

Tutti i trattamenti